La evolución del feto a través de ecografías

Actualizado el Por Sara Hormigo
© iStock
1/25

Son un antes y un después en las revisiones de los embarazos y es que hoy en día a través de las ecografías podemos tener un embarazo mucho más controlado y seguro. Pero ya no solo se trata de la importancia de la parte médica sino que a nivel emocional es uno de los momentos más importantes para los papás. Pueden ver al bebé en movimiento, ver su evolución, saber el sexo del pequeño... 


La evolución del feto a través de ecografías es un avance médico el cuál se divide en varios episodios según las revisiones rutinarias. Estas ecografías sirven para el estudio del crecimiento y el bienestar del bebé dentro del útero materno. Entre otras cosas, las permiten detectar posibles problemas de malformaciones, el desarrollo anatómico del feto, escuchar sus latidos o detectar cualquier anomalía o patología en el embarazo.


Las ecografías 2D o bidimensionales son las que estamos acostumbradas a ver pero durante los últimos años cada vez se han extendido más las ecografías en 3D o tridimensionales que permiten ver al bebé con volumen, es decir, como si lo viéramos en una televisión y también han aparecido las ecografías 4D, que permiten ver al bebé en el momento, en movimiento y en tiempo real.


Se trata de una prueba sencilla e indolora donde no es necesaria la radiación por lo que es segura tanto para el bebé como para la mamá aunque siempre es recomendable no abusar y solo hacernos las recomendadas por el médico.


A lo largo del embarazo, se suelen realizar 3 ecografías rutinarias, una por trimestre:

>La primera se realiza en la semana 12 y se determina si hay un o más embriones, la posición en el útero y medir al feto para ver si coincide con el tiempo real de gestación.

>La segunda se suele realizar en la semana 20 de gestación permite saber si es crecimiento es correcto, malformaciones, el nivel del líquido amniótico y el funcionamiento de la placenta y el cordón umbilical. Siempre que su posición lo permita se podrá determinar también cuál es el sexo del bebé.

>La tercera se realiza entre la semana 33 y 35, es la última y por tanto da información sobre cómo será el parto. Además de comprobar el desarrollo del feto se detectará cuál es la posición del feto y ver cómo viene: de nalgas, boca abajo, etc...


Además de estas también existen las ecografías vaginales que se suelen realizar durante las primeras semanas del embarazo (hasta la octava semana) y que normalmente se realizan para confirmar que se está en estado. Mientras que el resto de ecografías que hemos enumerado serán siempre abdominales. Ten en cuenta, que si se trata de un médico privado, suelen realizar una ecografía en cada una de las revisiones mensuales por lo que la información del feto y el estado del embarazo será mayor. 


Aquí tienes un ejemplo de cómo es el desarrollo del embarazo semana a semana a través de ecografías.


Puede interesarte:

La evolución del embarazo semana a semana 

Sangrado en el embarazo: ¿por qué se produce?

El primer mes del bebé: ¿qué cuidados necesita durante esta etapa?


2/25

La evolución del feto a través de ecografías

Primera ecografía con 2 semanas: el embrión es visible bajo la forma de una pequeña vesícula de 3 mm de diámetro. Este está implantado en el endometrio (músculo uterino presente en toda la periferia).

3/25

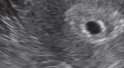
La evolución del feto a través de ecografías

Ecografía con 3 semanas: el saco gestacional mide 7 mm de diámetro.

4/25

La evolución del feto a través de ecografías

Ecografía de un mes: el embrión irá tomando el aspecto de un disco. Se forma el tubo neuronal y comienza a apreciarse una extremidad abultada: la cabeza.

Su actividad cardíaca está presente y se puede grabar por ecodoppler.

5/25

La evolución del feto a través de ecografías

Ecografía de las 5 semanas: el embrión mide 7 mm. Empieza a manifestarse una flexión ventral y dos polos individuales: el polo cefálico (la cabeza) y el polo caudal (la extremidad inferior del feto).

6/25

La evolución del feto a través de ecografías

Ecografía de las 6 seis semanas: el embrión mide entre 14 y 18 mm. El cerebro y el sistema nervioso se están desarrollando rápidamente. Durante esta semana, comienzan a desarrollarse a ambos lados de la cabeza las vesículas ópticas, que luego formarán los ojos, como también los conductos que constituirán el oído interno.

El corazón comenzará a latir durante esta semana. También comenzarán a formarse los aparatos respiratorio y digestivo. El cordón umbilical mide 10 mm.

7/25

La evolución del feto a través de ecografías

Ecografía con 7 semanas: el embrión mide 22 mm y sus movimientos son visibles en la ecografía. Se empieza a ver la formación de la columna vertebral y los miembros miden 5 mm. Los dedos aún no se pueden identificar.

8/25

La evolución del feto a través de ecografías

Ecografía de 2 meses: el embrión mide 3 cm. Los dos hemisferios del cerebro están presentes.

9/25

La evolución del feto a través de ecografías

Ecografía de 9 semanas: el embrión ya mide 45 mm. Sus dedos de la mano y de los pies se diferencian.

10/25

La evolución del feto a través de ecografías

Ecografía con 10 semanas: en este estado se realiza la ecografía del primer trimestre, a menudo la primera ecografía. La fecha del inicio del embarazo se precisa en función de las medidas calculadas en el examen. La medida de la claridad nucal es muy importante y debe realizarse de manera muy rigurosa. Constituye el primer detector de una eventual anomalía cromosómica.

11/25

La evolución del feto a través de ecografías

Ecografía de 11 semanas: se pueden apreciar las primeras estructuras del cerebro.
El feto mide unos 4 cm y pesa unos 7 gramos. Su piel es tan finita que es casi transparente y por eso se pueden ver todas sus venas. Algunos de sus huesos están empezando a endurecerse y los dedos de sus manos y de sus pies no sólo están ya todos formados, sino que dentro de poco podrá abrirlos y cerrarlos.

12/25

La evolución del feto a través de ecografías

Ecografía de 3 meses: en la primera ecografía de un embarazo gemelar se puede precisar si existen una o dos placentas. En esta imagen, la presencia de la placenta en la barrera muestra un embarazo bicorial biamniótico, es decir, con dos placentas y dos sacos independientes.

13/25

La evolución del feto a través de ecografías

Ecografía de 13 semanas: las piernas empiezan a estirarse.

14/25

La evolución del feto a través de ecografías

Ecografía de 14 semanas: empieza el segundo trimestre. El cordón umbilical tiene tres vasos sanguíneos, dos arterias y una vena. Se puede ver la circulación de estos vasos.
Todas las estructuras básicas del cuerpo, tanto por dentro como por fuera, ya están formadas, aunque en miniatura. Tu bebé mide unos 9 centímetros. Tiene ahora, más o menos, el tamaño de un limón amarillo.

El cuerpo está creciendo ahora con más rapidez que la cabecita. Ya se puede ver el cuello. Al final de esta semana los brazos se habrán alargado y se verán proporcionados con el resto del cuerpo. Si lo vieras de cerca notarías que le está apareciendo por todo el cuerpo un vello muy finito que se llama lanugo.

15/25

La evolución del feto a través de ecografías

Ecografía de 15 semanas: feto de frente presentado en ecografía 3D.

16/25

La evolución del feto a través de ecografías

Ecografía de 4 meses: dos manos cruzadas.

17/25

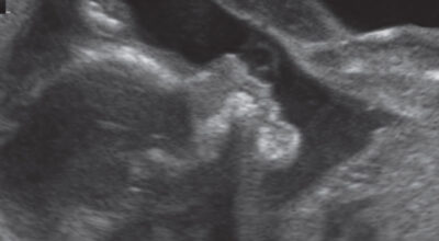
La evolución del feto a través de ecografías

Ecografía de 17 semanas: placenta y origen del cordón umbilical. Gracias a la placenta se realizan los intercambios vasculares entre la madre y el feto. Bebé: coordina los movimientos de las extremidades. Los ojos se ubican hacia el frente de la cara. El feto mide 16 cm y pesa 155 gr.

18/25

La evolución del feto a través de ecografías

Ecografía de 18 semanas: dos manitas con la ecografía en 3D.

19/25

La evolución del feto a través de ecografías

Ecografía de 19 semanas: ya podemo ver los dos pies.

20/25

La evolución del feto a través de ecografías

Ecografía de 5 meses: el análisis del perfil del feto es un momento importante en la ecografía morfológica ya que es cuando se pueden diagnosticar algunas patologías.

21/25

La evolución del feto a través de ecografías

Ecografía de 21 semanas: una ecografía en tres dimensiones puede aportar datos complementarios para poder observar bien el rostro del bebé. En la imagen, ¡el bebé está bostezando!

22/25

La evolución del feto a través de ecografías

Ecografía de 22 semanas: las manitas del bebé son capaces de explorar y los dedos realizan movimientos de flexión-extensión.

23/25

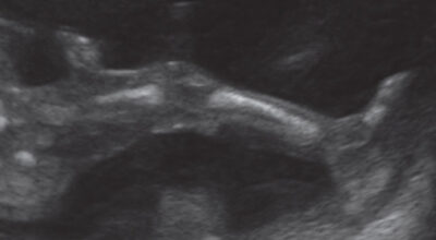
La evolución del feto a través de ecografías

Ecografía de 23 semanas: examen de la columna vertebral y las costillas a través de la ecografía 3D. Este análisis no es sistemático y se realiza cuando hay cierta susceptibilidad de una anomalía de las vértebras o una enfermedad ósea.

24/25

La evolución del feto a través de ecografías

Ecografía de 24 semanas: el bebé abre la boca de manera regular, varias veces al día. Y así tragará un poco de líquido amniótico.

25/25

La evolución del feto a través de ecografías

Ecografía con 25 semanas: en esta ecografía, se visualiza las diferentes estructuras del cerebro, y también se analizan las arterias cerebrales (coloreadas).